On April 7, 2026, Cornell University researchers published a landmark study in the Proceedings of the National Academy of Sciences (PNAS) demonstrating that the compound JQ1 achieves 100% effective, fully reversible male contraception in mice — a breakthrough that could finally bring a nonhormonal male birth control method to human clinical trials within two years.
Why It Matters
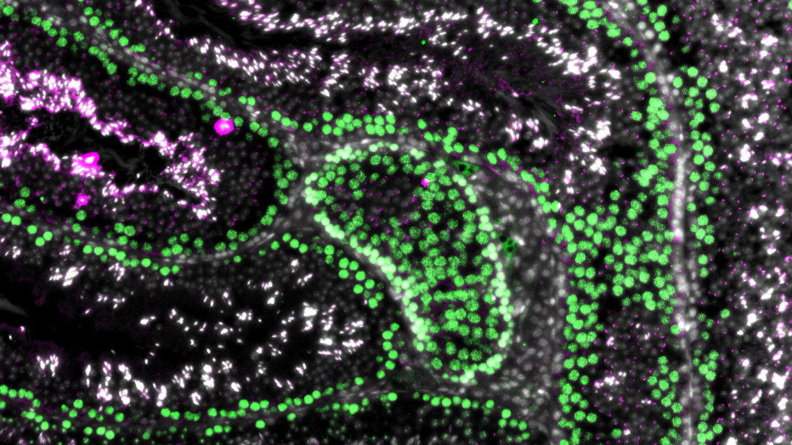
The male contraception market has been a white whale for decades — the "male pill" has been perpetually five years away since the 1990s. What makes the Cornell breakthrough different is its mechanism: by targeting the meiotic process rather than hormones, it avoids the mood, libido, and metabolic side effects that have derailed previous hormonal approaches. For the sex tech industry, a viable male contraceptive would be transformative, creating an entirely new product category at the intersection of reproductive health and male sexual wellness. The research also has implications for the broader femtech/reproductive health landscape: if men can share the contraceptive burden, it shifts the entire market dynamic around fertility management. With Cohen planning to spin out a company within two years, this moves from pure research toward commercialization faster than most academic contraception studies.Led by Professor Paula Cohen, director of the Cornell Reproductive Sciences Center, the research showed that male mice treated with JQ1 produced no sperm after three weeks of treatment. Upon stopping the compound, sperm production fully resumed within six weeks, and the mice went on to produce healthy, fertile offspring — as did the second generation, confirming no lasting genetic effects. JQ1 works by disrupting meiotic prophase 1, a natural checkpoint in sex cell reproduction, selectively killing cells at this stage while leaving the stem cells that produce new sperm intact. This preservation of stem cells is the key to reversibility.
While JQ1 itself has neurological side effects that preclude direct human use, the study identifies the precise molecular target — the BET protein family's role in meiotic gene expression — that future drug candidates can be designed to hit with greater specificity. Cohen stated her team "intends to launch a company within the next two years" to develop a clinical-stage compound, envisioning either a quarterly injection or patch as the delivery method.
"We're practically the only group that's pushing the idea that contraception targets in the testis are a feasible way to stop sperm production," Cohen said, noting that most male contraception research has focused on hormonal approaches that carry significant side effects including mood changes and libido suppression.
Sources
- Breakthrough Takes Big Step Toward Safe, Reversible Male Contraception — Cornell Chronicle
- Breakthrough Takes Big Step Toward Safe, Reversible Male Contraception — ScienceDaily
Update — 2026-04-08
Initial entry — story first created.